Skip to main content
Home
  • ALL Specialities ALL Specialities
    Home
    Home

    HT Staff

    News

    Bacterium may increase risk of DLBCL, FL

    Author:
    HT Staff
    Publish date: October 14, 2015

    Coxiella burnetii Image courtesy of NIAID The bacterium that causes Q fever may confer an increased risk of diffuse large B-cell lymphoma (DLBCL)...

    • Read More

    News

    Anticoagulant granted fast track designation

    Author:
    HT Staff
    Publish date: October 14, 2015

    Image by Kevin MacKenzie The US Food and Drug Administration (FDA) has granted fast track designation to betrixaban as extended-duration venous...

    • Read More

    News

    red blood cells

    Explaining treatment-related anemia

    Author:
    HT Staff
    Publish date: October 14, 2015

    Research conducted in mice suggests that genomic screening might reveal cancer patients who are likely to develop treatment-related anemia. The...

    • Read More

    News

    Report: Many cancer patients may be dying of VTE

    Author:
    HT Staff
    Publish date: October 14, 2015

    chemotherapy Photo by Rhoda Baer Thousands of annual deaths among cancer patients in England and Wales may be caused by venous thromboembolism (...

    • Read More

    News

    Cancer survivors have poor diets, study suggests

    Author:
    HT Staff
    Publish date: October 13, 2015

    New research suggests that cancer survivors in the US may need dietary interventions to improve their health. The study showed that, overall,...

    • Read More

    News

    Tracking system helps reduce blood use

    Author:
    HT Staff
    Publish date: October 12, 2015

    Photo by Juan D.

    • Read More

    News

    Eltrombopag can benefit kids with chronic ITP

    Author:
    HT Staff
    Publish date: October 11, 2015

    Photo by Logan Tuttle Results of 2 studies suggest eltrombopag can be safe and effective in children of all ages affected by chronic immune...

    • Read More

    News

    Regimen may lengthen survival in AL amyloidosis

    Author:
    HT Staff
    Publish date: October 10, 2015

    High-dose melphalan and autologous stem cell transplant (HDM/SCT) may enable long-term survival in patients with light-chain (AL) amyloidosis,...

    • Read More

    News

    Haplo-HSCT appears comparable to fully matched HSCT

    Author:
    HT Staff
    Publish date: October 9, 2015

    Photo by Chad McNeeley A retrospective study suggests that, for patients with hematologic disorders, a haploidentical hematopoietic stem cell...

    • Read More

    News

    Smartphone use may put patient data at risk

    Author:
    HT Staff
    Publish date: October 9, 2015

    Photo by Daniel Sone A new survey suggests that doctors and nurses in London are routinely using their own smartphones for patient care....

    • Read More

    News

    Findings may inform design of new treatments for JMML

    Author:
    HT Staff
    Publish date: October 9, 2015

    Image from the Salk Institute Researchers have used induced pluripotent stem cells (iPSCs) to model juvenile myelomonocytic leukemia (JMML) and...

    • Read More

    News

    Method can identify CTCL quickly, study suggests

    Author:
    HT Staff
    Publish date: October 9, 2015

    High-throughput sequencing (HTS) may enable earlier diagnosis of cutaneous T-cell lymphoma (CTCL), according to a study published in Science...

    • Read More

    News

    JAK inhibitors could treat Sézary syndrome, team says

    Author:
    HT Staff
    Publish date: October 8, 2015

    Photo courtesy of NIGMS Patients with Sézary syndrome (SS) may have a more complex array of genetic mutations than we thought, according to a...

    • Read More

    News

    BMI linked to need for blood transfusion

    Author:
    HT Staff
    Publish date: October 8, 2015

    Photo courtesy of UAB Hospital VIENNA—New research suggests that having a higher body mass index (BMI) is associated with a decreased need for...

    • Read More

    News

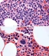
    Case suggests GSIs could treat Notch-mutated ALL

    Author:
    HT Staff
    Publish date: October 8, 2015

    before (top) and after 7 weeks of treatment (bottom) © Knoechel et al. Results of a case study suggest a gamma-secretase inhibitor (GSI) can be...

    • Read More

    Pages

    • « first
    • …
    • 152
    • 153
    • 154
    • 155
    • 156
    • 157
    • 158
    • 159
    • 160
    • …
    • last »

    Privacy Policy

    Terms of Use

    Editorial Policy

    Cookie Policy

    Ad Policy

    Medscape Customer Support

    Frequently Asked Questions

     

    Advertise with MDedge

    See more with MDedge! See our Other Publications

    MDedge: Keeping You Informed. Saving You Time.

    Copyright  © 2024 Frontline Medical Communications Inc., 283-299 Market Street, 2 Gateway Center, 4th Floor, Newark, NJ 07102. All rights reserved. Unauthorized use prohibited. The information provided is for educational purposes only. Use of this Web site is subject to the medical disclaimer.

    • All Specialties
      • MDedge Home
      • Cardiology
      • Clinician Reviews
      • Dermatology
      • Emergency Medicine
      • Endocrinology/Diabetes
      • Family Medicine
      • Federal Practitioner
      • Gastroenterology
      • Hematology/Oncology
      • Infectious Disease
      • Internal Medicine
      • Neurology
      • Obstetrics And Gynecology
      • Pediatrics
      • Psychiatry
      • Pulmonology
      • Rheumatology
      • Surgery
    • MDedge Home
    • Cardiology
    • Clinician Reviews
    • Dermatology
    • Emergency Medicine
    • Endocrinology/Diabetes
    • Family Medicine
    • Federal Practitioner
    • Gastroenterology
    • Hematology/Oncology
    • Infectious Disease
    • Internal Medicine
    • Neurology
    • Obstetrics And Gynecology
    • Pediatrics
    • Psychiatry
    • Pulmonology
    • Rheumatology
    • Surgery