Radiology Review

An Alarming Slip of the Hip

Author and Disclosure Information

An Alarming Slip of the Hip image

An Alarming Slip of the Hip

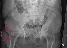
After a fall, an 80-year-old woman is brought to the emergency department for evaluation of hip pain. She was getting out of bed when she slipped, fell, and landed on her right hip; bearing weight now is painful. She denies hitting her head. The patient’s vital signs are normal. Her medical history is significant for hypertension and diabetes. Inspection of the hip reveals no obvious deformity or shortening. The right lateral aspect of the hip exhibits mild swelling and decreased range of motion secondary to the pain. You order a pelvic radiograph, which is shown. What is your impression?


 

Answer
The radiograph shows no acute fracture or subluxation. Diffuse osteopenia is present. Increased density is noted within the soft tissue lateral to the trochanteric portion of the right femur; this likely represents a contusion or hematoma.

Recommended Reading

Case Studies In Toxicology: Withdrawal: Another Danger of Diversion
Clinician Reviews
Shortness of Breath and Loss of Appetite
Clinician Reviews
When Trauma Changes the Picture
Clinician Reviews
Is Postop Lethargy Cause for Concern?
Clinician Reviews
Woman, 35, With Jaundice and Altered Mental Status
Clinician Reviews
In Middle of Trip, Woman Falls
Clinician Reviews
He Huffed and He Puffed and He Got Frostbite
Clinician Reviews
Febrile, Immunocompromised Man With Rash
Clinician Reviews
Altered Mental Status Demands Closer Look
Clinician Reviews
Extreme Athlete, 18, With Worsening Cough
Clinician Reviews

Related Articles