Radiology Review

Is Postop Lethargy Cause for Concern?

Author and Disclosure Information

Is Postop Lethargy Cause for Concern image

Is Postop Lethargy Cause for Concern?


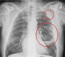
A 65-year-old man is transported to your emergency department from a local rehabilitation hospital. He is three weeks status post cardiac bypass surgery as well as “some other valve procedure.” In the past two to three days, staff members report, the patient has been less active and has not participated in therapy. This morning, he was found to be lethargic, and that is what prompted the call to 911. Examination reveals a lethargic male who has little verbal communication beyond moaning and groaning. His vital signs include a temperature of 36°C; blood pressure, 90/40 mm Hg; and heart rate, 135 beats/min. His O2 saturation is 90% on room air. Inspection of the patient’s chest reveals a recent, healing midline sternotomy incision. There is no overt redness or swelling. On auscultation, you note decreased breath sounds on the left side, with some coarse crackles. As you initiate your facility’s sepsis protocol order set, a stat portable chest radiograph is obtained. What is your impression?


 

References

Answer
The radiograph shows a large cavitary lesion within the left mid-lung with evidence of an air fluid level. This finding is strongly suggestive of a postoperative abscess or empyema. Secondarily, there is some pleural thickening within the left lateral apex region. This can be suggestive of scarring or possibly a neoplasm.

The patient was admitted to the ICU for a sepsis workup, and Interventional Radiology was consulted to evaluate for CT-guided drain placement.

Recommended Reading

What’s Wrong With This Picture?
Clinician Reviews
Case Studies in Toxicology: One Last Kick—Transverse Myelitis After an Overdose of Heroin via Insufflation
Clinician Reviews
Revenge of the Deer Stand
Clinician Reviews
Secondary Survey of Trauma Patient
Clinician Reviews
Case Studies in Toxicology: The Perilous Pursuit of Perfection
Clinician Reviews
Patient Has No Complaints, But Family Is Concerned
Clinician Reviews
Ladder Becomes Stairway to Urgent Care
Clinician Reviews
Case Studies In Toxicology: Withdrawal: Another Danger of Diversion
Clinician Reviews
Shortness of Breath and Loss of Appetite
Clinician Reviews
When Trauma Changes the Picture
Clinician Reviews

Related Articles

  • Radiology Review

    When Trauma Changes the Picture

    A 75-year-old man is brought to your emergency center following a fall from his attic. He slipped and fell approximately 10 feet, landing on his...

  • Radiology Review

    Ladder Becomes Stairway to Urgent Care

    A 30-year-old man presents to an urgent care clinic for evaluation of neck pain secondary to an injury he sustained earlier in the day. He was at...