Radiology Review

Altered Mental Status Demands Closer Look

Author and Disclosure Information

Altered Mental Status Demands Closer Look image

Altered Mental Status Demands Closer Look


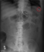
You receive a call from an ICU nurse regarding a patient your service is following—a 60-year-old man who was admitted for altered mental status and is being worked up for a possible brain mass. He has no other significant medical history. The nurse has placed a nasogastric feeding tube to facilitate nutrition and medication administration and has ordered a portable abdominal radiograph to confirm its placement. The completed radiograph is shown. What is your impression?


 

References

Answer
The radiograph demonstrates a normal gas pattern with a properly placed enteric feeding tube, which appears to be within the stomach. Of note is a sclerotic-appearing lesion on the posterior aspect of the left eighth rib. In a patient with a possible tumor, this lesion ­poses concern for potential metastasis and warrants appropriate work-up.

Recommended Reading

Case Studies in Toxicology: The Perilous Pursuit of Perfection
Clinician Reviews
Patient Has No Complaints, But Family Is Concerned
Clinician Reviews
Ladder Becomes Stairway to Urgent Care
Clinician Reviews
Case Studies In Toxicology: Withdrawal: Another Danger of Diversion
Clinician Reviews
Shortness of Breath and Loss of Appetite
Clinician Reviews
When Trauma Changes the Picture
Clinician Reviews
Is Postop Lethargy Cause for Concern?
Clinician Reviews
Woman, 35, With Jaundice and Altered Mental Status
Clinician Reviews
In Middle of Trip, Woman Falls
Clinician Reviews
He Huffed and He Puffed and He Got Frostbite
Clinician Reviews

Related Articles

  • Radiology Review

    In Middle of Trip, Woman Falls

    A 70-year-old woman presents to your emergency department for evaluation of right knee pain secondary to a fall. She and her husband, in the...

  • Radiology Review

    When Trauma Changes the Picture

    A 75-year-old man is brought to your emergency center following a fall from his attic. He slipped and fell approximately 10 feet, landing on his...