Radiology Review

In Middle of Trip, Woman Falls

Author and Disclosure Information

In Middle of Trip, Woman Falls image

In Middle of Trip, Woman Falls


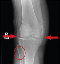
A 70-year-old woman presents to your emergency department for evaluation of right knee pain secondary to a fall. She and her husband, in the process of driving from Florida to their home in California, stopped for the night in your town. The patient states that shortly after getting up this morning, she tripped, lost her balance, and fell. All her weight landed on her right knee; she says it is now “extremely painful” to bear weight on that leg. She also twisted her right ankle, causing additional discomfort. Her medical history is significant for hypertension, which is controlled by medication. On physical exam, you note an elderly female who is uncomfortable but in no obvious distress. Inspection of her right knee shows no obvious deformity but a moderate amount of swelling. The patient has limited range of motion secondary to the swelling. She also has moderate tenderness circumferentially around the knee. There is additional swelling and mild bruising on both the medial and lateral aspects of the right ankle. You obtain a radiograph of the right knee. What is your impression?


 

References

Answer
The radiograph has several findings, one of which is a nondisplaced proximal fibula fracture. In addition, there is a moderate suprapatellar joint effusion. The patient also has fairly advanced tricompartment degenerative arthrosis. (To review, the tricompartment comprises all three anatomic areas of the knee: the patellofemoral, lateral tibiofemoral, and medial tibiofemoral joints.)

The patient was placed in a knee immobilizer, and orthopedic evaluation was coordinated .

Recommended Reading

Revenge of the Deer Stand
Clinician Reviews
Secondary Survey of Trauma Patient
Clinician Reviews
Case Studies in Toxicology: The Perilous Pursuit of Perfection
Clinician Reviews
Patient Has No Complaints, But Family Is Concerned
Clinician Reviews
Ladder Becomes Stairway to Urgent Care
Clinician Reviews
Case Studies In Toxicology: Withdrawal: Another Danger of Diversion
Clinician Reviews
Shortness of Breath and Loss of Appetite
Clinician Reviews
When Trauma Changes the Picture
Clinician Reviews
Is Postop Lethargy Cause for Concern?
Clinician Reviews
Woman, 35, With Jaundice and Altered Mental Status
Clinician Reviews

Related Articles