Radiology Review

“Something Abnormal” on a Chest X-ray

Author and Disclosure Information

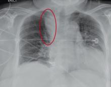
Radiograph of preoperative patient after fall.

Chest radiograph of preop patient with acute left subdural hematoma after ground level fall.


You are doing preoperative orders on a patient scheduled for surgery tomorrow morning. The patient is a 75-year-old woman who was admitted with an acute left subdural hematoma after sustaining a ground-level fall. Her medical history is significant for hypertension and diabetes. Social history is unremarkable. She is neurologically intact except for occasional confusion and aphasia. She moves all her extremities well. As you review her lab results, one of the nurses mentions that the radiology department called about “something abnormal” on the patient’s chest radiograph. You pull up the patient’s portable chest radiograph on the computer to review. What is your impression?


 

References

ANSWER
The radiograph demonstrates a fairly large (4 x 6 cm) right paratracheal mass of unclear etiology. This type of finding warrants further evaluation with contrasted CT.

Fortunately for this patient, a subsequent study demonstrated a slightly enlarged thyroid gland. This correlated with the radiographic
finding.

Recommended Reading

Case Studies in Toxicology: A Patchwork of Problems in Parkinson Patients
Clinician Reviews
Case Report: Nasal Septal Abscess
Clinician Reviews
Inmate Falls From Top Bunk
Clinician Reviews
Man, 26, With Sudden-Onset Right Lower Quadrant Pain
Clinician Reviews
Clipped by an Oncoming Car
Clinician Reviews
Case Studies in Toxicology: Death and Taxus
Clinician Reviews
Thrown From Motorcycle
Clinician Reviews
Man Falls on Buttocks
Clinician Reviews
Woman With Blue-Gray Palate and Nail Beds
Clinician Reviews
Case Studies in Toxicology: Hot as a Hare and Red as a Beet
Clinician Reviews