Radiology Review

Thrown From Motorcycle

Author and Disclosure Information


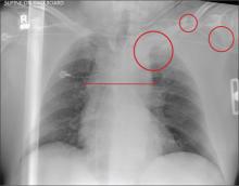
A 57-year-old man is brought to your facility as a trauma code. He was riding a motorcycle on the highway, traveling approximately 45 to 50 mph, when the car in front of him abruptly stopped. He hit the car and was thrown from his bike. He believes he briefly lost consciousness but recalls emergency personnel tending to him. On arrival, he is awake and alert, complaining of pain in his neck, left arm, and left lower leg. Medical history is significant for borderline hypertension and a previous accident that resulted in an emergency laparotomy. Primary survey reveals stable vital signs: blood pressure of 157/100 mm Hg; heart rate, 110 beats/min; respiratory rate, 20 breaths/min; and O2 saturation, 98% with supplemental oxygen. Pupils are equal and reactive; there are slightly decreased breath sounds on the left side. Abdominal exam appears benign. There is decreased mobility and pain in the patient’s left upper and left lower extremities, although no obvious deformity is noted. Preliminary chest radiograph is obtained before the patient is sent for CT. What is your impression?


 

ANSWER
Several findings are evident from this radiograph. First, the quality is slightly diminished due to the patient’s size and artifact from the backboard. The patient’s mediastinum is somewhat widened, which is concerning for possible occult chest/vascular injury. There is some haziness within the left apical region suggestive of a hemothorax; no definite pneumothorax is seen. The left clavicle is fractured and displaced, and the left scapula is fractured as well.

Recommended Reading

Case Studies in Toxicology: A Patchwork of Problems in Parkinson Patients
Clinician Reviews
Hand Pain Following an Altercation
Clinician Reviews
There’s No Place Like Home… for Carbon Monoxide Poisoning
Clinician Reviews
Elderly Woman Takes a Fall
Clinician Reviews
Case Report: Nasal Septal Abscess
Clinician Reviews
Poland Syndrome: A Congenital Abnormality Mimicking a Traumatic Injury
Clinician Reviews
Inmate Falls From Top Bunk
Clinician Reviews
Man, 26, With Sudden-Onset Right Lower Quadrant Pain
Clinician Reviews
Clipped by an Oncoming Car
Clinician Reviews
Case Studies in Toxicology: Death and Taxus
Clinician Reviews