Radiology Review

Man Falls on Buttocks

Author and Disclosure Information


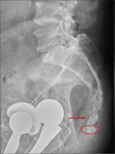
A 75-year-old man presents to the urgent care center for evaluation of pain in his buttocks after a fall. He states he was walking when his “legs gave out” and he hit the ground. He landed squarely on his buttocks, causing immediate pain. He was eventually able to get up with some assistance. He denies any current weakness or any bowel or bladder complaints. His medical/surgical history is significant for coronary artery disease, hypertension, and bilateral hip replacements. Physical exam reveals an elderly male who is uncomfortable but in no obvious distress. His vital signs are stable. He has moderate point tenderness over his sacrum but is able to move all his extremities well, with normal strength. Radiograph of his sacrum/coccyx is shown. What is your impression?


 

References

ANSWER
There are degenerative changes present. Bilateral hip prostheses are noted. Within the coccyx, there is bone remodeling and angulation that are likely chronic and related to remote trauma or injury (arrow). Below this, some cortical lucency (circled) is noted, most likely consistent with an acute fracture. The patient was prescribed a nonsteroidal medication and a mild narcotic pain medication.

Recommended Reading

Case Studies in Toxicology: A Patchwork of Problems in Parkinson Patients
Clinician Reviews
There’s No Place Like Home… for Carbon Monoxide Poisoning
Clinician Reviews
Elderly Woman Takes a Fall
Clinician Reviews
Case Report: Nasal Septal Abscess
Clinician Reviews
Poland Syndrome: A Congenital Abnormality Mimicking a Traumatic Injury
Clinician Reviews
Inmate Falls From Top Bunk
Clinician Reviews
Man, 26, With Sudden-Onset Right Lower Quadrant Pain
Clinician Reviews
Clipped by an Oncoming Car
Clinician Reviews
Case Studies in Toxicology: Death and Taxus
Clinician Reviews
Thrown From Motorcycle
Clinician Reviews