Commentary

Editorial: State-of-the-Art Now Standard for First-Trimester Screening


 

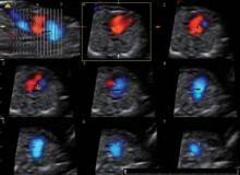
Photo courtesy Dr. Christopher Harman

Figure 3. 3-D blocks analyzed by tomographic section in a systematic approach, yield complete catalogue of anatomic cardiac landmarks in over 80% of fetuses at 12 weeks.

The quest to detect other kinds of problems (mainly structural abnormalities, and congenital heart defects, in particular) as early as we can detect chromosomal problems has taken on added urgency in recent years.

Indeed, significant improvements in the overall computing capability of modern ultrasound equipment, in three-dimensional color ultrasonography, and in ultrasound image resolution – as well as specific new technologic developments such as tomographic imaging and spatiotemporal image correlation – have opened the door to first-trimester cardiac screening.

In the majority of patients, up to 12 parameters of fetal cardiac structure can be visualized. Each of the three segments of the exam takes only a few seconds to perform, so the actual collection of information is rapid. The technologic advances have also made the acquisition of images easier and less operator dependent. Moreover, the analysis is then performed offline, so the mother can go home afterward. Offline analysis of images also means that the ultrasound scan itself can be performed by trained sonographers at a distance from a cardiac center, with the information transmitted to the center for expert analysis.

It wasn’t long ago that second-trimester fetal echocardiography was the gold standard for any prenatal evaluation of fetal cardiac structure and function. Now, with an early and integrated screening approach that utilizes first-trimester fetal cardiac examination, we can in fact diagnose many of the most severe heart defects as early as 12 weeks of gestation. At this stage, the fetal heart is as small as the tip of the little finger.

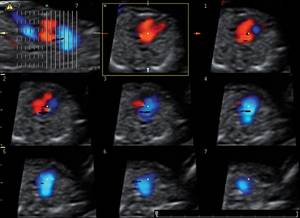
Photo courtesy Dr. Christopher Harman

Figure 4. Complete endocardial cushion defect diagnosed at 12 weeks - first trimester echo was triggered by abnormal ductus venosus alone, during routine screening.

This component of first-trimester screening is just now coming to the forefront. Its availability can benefit populations at high risk of cardiac anomalies (such as women who have long-standing diabetes). It may be especially beneficial to those who were in poor glycemic control at the beginning of their pregnancy. It appears, though, that the exam can be meaningfully applied in low-risk populations as well. Research is underway to determine the best approaches to counseling and to determine which patients should have subsequent invasive testing.

Other New Frontiers

Another area of interest is the potential ability to predict which women will develop preeclampsia later in pregnancy based on how the fetus and placenta are faring at approximately 12 weeks’ gestation.

Doppler investigations have shown us that placental abnormalities are difficult to distinguish from normal placental development early in pregnancy. In the first trimester, therefore, Doppler alone is a fair mechanism for knowing whether placental development is deficient enough to put the mother at high risk for developing preeclampsia or isolated hypertension.

However, when Doppler is combined with measurement of a family of maternal serum analytes – some of them inflammatory substances and some of them chemicals that regulate the formation of blood vessels – it can be employed to predict who will develop early hypertensive complications. And when other factors such as maternal weight and blood pressure at the time of first-trimester assessment are added to the equation, the accuracy of our predictions increases further.

We are proceeding in this area with a bit of caution, as we cannot yet predict the onset of preeclampsia later on in pregnancy. The predictive value of the first-trimester assessment for hypertensive problems that occur closer to term is not very good, so patients with normal early assessments still need careful prenatal care.

Still, in many ways we can tackle the most severe problems through early detection. There is some evidence that the administration of low-dose aspirin can reduce the incidence of hypertension and preeclampsia, as well as complications with the baby’s growth, in women with detected placental abnormalities. This means that not only are we able to define and identify those women at highest risk, but we also have the ability to potentially modify the course of placental development and perhaps even eliminate hypertensive complications.

Current research is aimed at defining who will best benefit from this approach, because while low-dose aspirin appears in some research to work when started early in high-risk women, benefits have not been duplicated in other studies.

More broadly, first-trimester assessment of maternal characteristics (such as weight), serum analytes, and ultrasound features set the stage for ongoing maternal evaluation of characteristics such as weight gain during pregnancy to predict her risk of developing preeclampsia, diabetes, and other serious problems, including neonatal concerns requiring specialized newborn care.

Recommended Reading

Frequent Migraines Not Linked to Cognitive Impairment in Women
MDedge Family Medicine
Interpregnancy Interval Linked to Rate of Congenital Anomalies
MDedge Family Medicine
Women Are Seldom Counseled About Weight Gain During Pregnancy
MDedge Family Medicine
Less Zoledronate May Prevent Osteoporotic Fractures
MDedge Family Medicine
Young Black Women Remain at Highest Risk for Herpes
MDedge Family Medicine
Editorial: A Sea Change in the Understanding of Gestational Diabetes Management
MDedge Family Medicine
Obesity, Estrogen Status Influence Breast Cancer Outcomes
MDedge Family Medicine
Triptorelin Cuts Early Menopause in Breast Cancer
MDedge Family Medicine
IOM Recommends Coverage for More Women’s Preventive Services
MDedge Family Medicine
Editorial: Antibacterial Use in Pregnancy
MDedge Family Medicine