Radiology Review

Man Unresponsive After Being Struck by Car

Author and Disclosure Information

He's intubated and unresponsive, with a Glasgow Coma Scale score of 3T.

How extensive are his injuries?


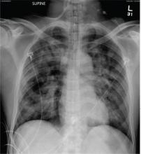
A 50-year-old man is transferred to your facility from an outlying community hospital. He is purportedly a pedestrian who was struck by a car. EMS personnel reported him to be unresponsive at the scene. He was intubated for airway protection and stabilized at the outside facility prior to transfer. Upon arrival at your facility, he is still intubated and unresponsive, and his Glasgow Coma Scale score is 3T. His heart rate is 150 beats/min and his blood pressure, 105/56 mm Hg. No additional history is available. Primary survey reveals a large scalp laceration with currently controlled bleeding. His pupils are nonreactive bilaterally. The patient is tachycardic with bilateral crackles. He also has a laceration and deformity of his right lower extremity. No imaging was provided in the transfer, so you obtain a portable chest radiograph. What is your impression?


 

References

ANSWER
The radiograph demonstrates bilateral patchy, fluffy infiltrates as well as what is sometimes referred to as ground-glass opacities. In the setting of trauma and respiratory compromise, these areas are most suggestive of pulmonary contusions and early acute respiratory distress syndrome. Other possibilities in the differential diagnosis include pulmonary edema, atypical pneumonia, and pulmonary metastases.

Recommended Reading

Woman With Blue-Gray Palate and Nail Beds
Clinician Reviews
Case Studies in Toxicology: Hot as a Hare and Red as a Beet
Clinician Reviews
“Something Abnormal” on a Chest X-ray
Clinician Reviews
Nausea, Vomiting, and Worsening Pain
Clinician Reviews
Case Studies in Toxicology: A Common Procedure, an Uncommon Complication
Clinician Reviews
Woman, 66, With Persistent Abdominal and Back Pain
Clinician Reviews
Confusion Follows Malaise and Pain
Clinician Reviews
More to the Story Than a Skull ­Fracture
Clinician Reviews
Case Studies in Toxicology: Sippin’ on Some “Sizzurp”
Clinician Reviews
Case Studies in Toxicology: An Amazonian Herb Goes Mainstream
Clinician Reviews

Related Articles

  • Radiology Review

    Confusion Follows Malaise and Pain

    A 70-year-old woman is brought to the emergency department by her family for evaluation of acute altered mental status. According to the family,...

  • Radiology Review

    Nausea, Vomiting, and Worsening Pain

    A 75-year-old woman presents to the emergency department with a three-day history of abdominal pain. She does not recall eating anything unusual....