News
Scleroderma patients suffer from small bowel bacterial overgrowth
- Author:
- Sara Freeman
Major finding: SIBO affected 14 (38%) of 37 scleroderma patients with gastrointestinal symptoms.Data source: Observational study of 120 adults...
News
 
  Apremilast effects sustained at 1 year in psoriatic arthritis
- Author:
- Sara Freeman
Major finding: ACR 20 response at 1 year was 57%-63% for patients given apremilast.Data source: PALACE 1, a 504-patient, phase III, multicenter,...
News
 
  Algorithm helps to DETECT pulmonary hypertension in systemic sclerosis
- Author:
- Sara Freeman
Major finding: Only 4% of cases were missed using the two-step algorithm, compared with 29% for guideline-recommended detection.Data source:...
News
 
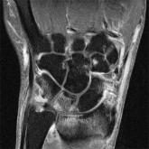
  MRI detects high level of subclinical small joint inflammation
- Author:
- Sara Freeman
News
 
  Proposed ACR-EULAR scleroderma classification criteria 'more inclusive'
- Author:
- Sara Freeman
News
 
  Device cuts DVT risk, saves stroke patients' lives
- Author:
- Sara Freeman
Major finding: Fewer proximal DVTs occurred at 30 days with intermittent pneumatic compression than with usual care (8.5% vs.
News
 
  Early, intensive BP drop benefits stroke patients
- Author:
- Sara Freeman
Major finding: The odds ratio for intensive blood pressure lowering preventing death or disability, compared with guideline-recommended treatment...
News
 
  Exercise program improved rheumatoid arthritis of the hands
- Author:
- Sara Freeman
Major finding: There was a mean difference in Michigan Hand Outcomes Questionnaire scores of 4.5 (P less than .002) at 4 months and 4.3 (P less...
News
SLE drug used in pregnancy does not up children’s infection, developmental risk
- Author:
- Sara Freeman
Major finding: Exposure to azathioprine during gestation did not increase the risk of infection in children (odds ratio, 1.6; 95% confidence...
News
 
  Many factors affect metabolic syndrome in first 2 years of lupus
- Author:
- Sara Freeman
Major finding: In the first 2 years after receiving a diagnosis of SLE, patients have significantly increased odds for having the metabolic...
News
Sjögren's syndrome has high long-term complication rate
- Author:
- Sara Freeman
Major finding: 49.3% of patients had additional autoimmune diseases, and 28.3% had a systemic malignancy. Data source: Retrospective case review...
News
Registry links anti-TNF therapy to reduced heart attack risk
- Author:
- Sara Freeman
Major finding: The fully adjusted hazard ratio for myocardial infarction was 0.7 in favor of ever using anti-TNF therapy.Data source: The British...
News
 
  Polymyalgia rheumatica carries postdiagnosis cancer risk
- Author:
- Sara Freeman
Major finding: Polymyalgia rheumatica (PMR) patients had an increased risk of cancer in the first 6 months after their diagnosis (hazard ratio, 1....
News
 
  Osteoarthritis patients survive longer after hip resurfacing than replacement
- Author:
- Sara Freeman
Major finding: The number needed to treat with hip resurfacing to prevent 1 excess death was 29 when compared to cemented total hip replacement,...
News
Bisphosphonates associated with improved hip, knee implant survival
- Author:
- Sara Freeman
Major finding: Revision surgery rates were 1.88% in bisphosphonate users vs.
 
                                                    