Case Reports

Fat Fracture: A Rare Cause of Anterior and Medial Knee Pain in a Professional Baseball Player

Author and Disclosure Information

 

References

Physical examination of the patient revealed a grade 1+ swelling over the anterior aspect of the superior pole of the patella in the prepatellar region, as well as medially over the medial femoral condyle. However, there was no joint effusion. Palpation of the superomedial aspect of the patella elicited pain, but no medial joint line tenderness was elicited. Percussion testing to the patella was negative. There were no gross palpable defects in the extensor mechanism, and the patient was able to perform a straight leg raise against resistance with pain.

Mild coronal laxity of the patella was noted compared with that of the contralateral knee. Hip range of motion (ROM) was intact, but knee ROM was limited to 110° of flexion, with the complaint of anterior tightness at this position. He was able to fully extend his knee without symptoms. The knee was stable to varus and valgus stress at both 0° and 30° of flexion. Lachman and anterior and posterior drawer tests were negative and symmetric to the contralateral knee. The McMurray test for meniscal pathology also was negative. Radiographs of the left knee were completed and were negative for fracture.

OUTCOMES

The initial clinical diagnosis was a patellar contusion and sprain of the medial retinaculum, and the athlete was treated with multiple modalities available in the athletic training room. Rehabilitation included activity modifications, passive and active ROM activities, quadriceps isometric exercises, and neuromuscular control activities. Adjunctive modalities included cryotherapy, hydrotherapy, topical hematoma cream, and iontophoresis.2 This aggressive treatment was continued for 3 days with decreased but persistent pain with running drills and limited knee flexion. Repeat clinical examination revealed a decreased swelling, but there was evidence of a clinically palpable defect anteriorly proximal to the patella. Although the patient could perform a straight leg raise, a partial injury to the quadriceps became plausible. Magnetic resonance imaging (MRI) of the left knee was performed, owing to the persistent pain and limited flexion despite aggressive conservative management, as well as the palpable soft-tissue defect.

MRI was performed using a 3T (Tesla) system (GE Healthcare) with a GE Healthcare Precision 8-channel knee coil. Routine knee protocol imaging was performed to include the distal quadriceps tendon due to clinical concern for a quadriceps tear. Sagittal proton density and proton-density fat-saturated (PD FS), coronal T1 and PD FS, and axial T1 and PD FS sequences were acquired.

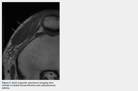
An acutely marginated, 1.5 cm × 3 cm, longitudinal and transverse fluid defect “crevasse” was identified at the midline in the prepatellar subcutaneous fat overlying the distal quadriceps tendon and corresponded to a clinically palpable abnormality (Figures 1, 2).

These findings were consistent with a localized “fat fracture.” There was an associated, 2 cm × 6 cm, sagittal and coronal/longitudinal, medial prepatellar bursal fluid complex and subcutaneous edema adjacent to the fat fracture (Figure 3). However, the patellar and quadriceps tendons were intact. A 12-mm focus of marrow edema at the superior pole of the patella was consistent with a contusion.
There was an incidental finding of a developmental bipartite superolateral patella. Last, there were findings of a hypoplastic sulcus and lateral patellar tilt without evidence of medial retinaculum injury or patellofemoral instability.

Continue to: These findings explained...

Recommended Reading

Return to Activities After Patellofemoral Arthroplasty
MDedge Surgery
For women with RA, small-joint surgery rate nearly twice that of men
MDedge Surgery
A Systematic Review of 21 Tibial Tubercle Osteotomy Studies and More Than 1000 Knees: Indications, Clinical Outcomes, Complications, and Reoperations
MDedge Surgery
Minimally Invasive Anatomical Reconstruction of Posteromedial Corner of Knee: A Cadaveric Study
MDedge Surgery
Biomechanical Evaluation of a Novel Suture Augment in Patella Fixation
MDedge Surgery
Study links RA flares after joint replacement to disease activity, not medications
MDedge Surgery
Knotless Tape Suture Fixation of Quadriceps Tendon Rupture: A Novel Technique
MDedge Surgery
Use of a Small-Bore Needle Arthroscope to Diagnose Intra-Articular Knee Pathology: Comparison With Magnetic Resonance Imaging
MDedge Surgery
Implant Survivorship and Complication Rates After Total Knee Arthroplasty With a Third-Generation Cemented System: 15-Year Follow-Up
MDedge Surgery
Special Considerations for Pediatric Patellar Instability
MDedge Surgery