Article
Strategies for managing coinfection with hepatitis B virus and HIV
News
Salary One Part of the Compensation Package
Your hospital medicine questions answered
News
Under Pressure
Hospitalists confront the recession and its unprecedented trickle-down effects
News
Bright Lights, Big City
National exposure is great for the specialty and our patients
News
The Bigger They Are ...
As HM grows, more large groups face more complex issues
News
Read All About It
Tough economy, healthcare reform, ever-evolving philosophies challenge the HM business model
Article
Salmonella-related mycotic pseudoaneurysm
A 74-year-old man is admitted to the hospital with a 7-day history of fever, rigors, chest pain, and general weakness. He underwent coronary...
Article
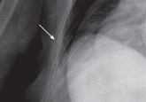
When and how to image a suspected broken rib
Radiographic confirmation of a rib fracture is unnecessary in patients who appear to have no complications or associated injuries, but it is...
Article
What is cell phone elbow, and what should we tell our patients?
Prolonged cell phone use can cause cubital tunnel syndrome. Switching hands frequently or using a hands-free headset can help.