News
Music therapy helps AYAs undergoing HSCT
Credit: Chad McNeeley A music therapy intervention can help adolescents and young adults (AYAs) cope with cancer and its treatment, according to...
Credit: Chad McNeeley A music therapy intervention can help adolescents and young adults (AYAs) cope with cancer and its treatment, according to...
Not at this time.
Notable judgments and settlements
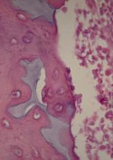
Scientists have found evidence to suggest that a genetic alteration in osteoblasts can induce acute myeloid leukemia (AML). And this provides a...
Researchers may have discovered why African Americans on dialysis sometimes require higher doses of erythropoietin-stimulating agents (ESAs) than...
Credit: CDC A new study suggests that “practice makes perfect” when it comes to caring for patients with severe sepsis. Researchers found that...