News

Team reports way to reduce sickling, SCD progression
Credit: Graham Colm Through a series of preclinical experiments, scientists discovered they could reduce the sickling of red blood cells (RBCs)...
Credit: Graham Colm Through a series of preclinical experiments, scientists discovered they could reduce the sickling of red blood cells (RBCs)...
The FDA’s decision is based on data from a cohort of HL patients in an ongoing phase 1b study of patients with relapsed or refractory hematologic...
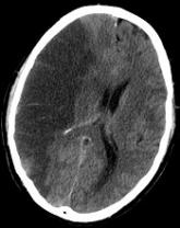
Credit: Lucien Monfils Researchers say they’ve developed a technique that can predict—with 95% accuracy—which stroke patients will benefit from...
The US Food and Drug Administration (FDA) has granted selinexor (KPT-330) orphan designation for the treatment of acute myeloid leukemia (AML)....
A sampling of gynecologic surgeons’ views, their institutions’ stances, and individual approaches to patients, gathered at ACOG’s 2014 Annual...
Key clinical point: Octogenarians with TAAAs present more challenges than younger individuals and their outcomes vary greatly according to the...
on a blood agar plate Credit: CDC BOSTON—Results of a phase 2 study suggest an investigational vaccine may be able to prevent Clostridium...
SAN DIEGO—Taking olive oil supplements may counteract some of the adverse cardiovascular effects of air pollution, according to a new study. “...
Institute of Photonic Sciences Scientists say they’ve developed a lab-on-a-chip device capable of detecting protein markers for cancer. The...