News

Radiofrequency ablation (RFA) has become an accepted first-line treatment for osteoid osteomas. Ablation of spinal osteoid osteomas has presented...
Mr. C, age 23, has persistent hallucinations and delusions, despite 4 trials of antipsychotic medication. He refuses clozapine because of the...
Patients with adolescent idiopathic scoliosis (AIS) have lower potential for physical activity because of lung dysfunction and lower muscle...
Modify the elements of CBT to address specific anxiety disorders, patient factors
AD remains a clinical diagnosis, but research might change that with specific tests for risk and disease
Medical knowledge and surgical skills are necessary to become an effective orthopedic surgeon. To run an efficient practice, the surgeon must also...
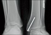
The fibula is an important stabilizer of the lateral ankle. Discontinuity of the fibular shaft can lead to progressive pain and shortening of the...
Cervical spine injuries are uncommon but potentially devastating athletic injuries. We report a case of a girl gymnast who presented with a...