Article

Tilt-table testing
If you have syncope, your doctor may order a tilt-table test to determine why the blood flow is decreased and how to treat it.
If you have syncope, your doctor may order a tilt-table test to determine why the blood flow is decreased and how to treat it.
The purpose is not to get clearance for surgery but to evaluate the patient’s medical status and risk of complications.
Although we may wish for “cookbook” guidelines, often we must practice the “art” of medicine.
Unlike simple myalgia or myositis, this condition can persist or even arise de novo after the statin is stopped.
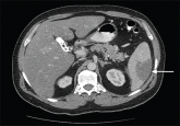
His symptoms and imaging findings suggested an infarction in the spleen, but what caused the infarction?
Some groups should be screened and treated, eg, pregnant women and patients undergoing an invasive urologic procedure.
Without red-flag symptoms, central nervous system imaging is unwarranted and may be harmful.
Corticosteroid treatment resulted in clinical improvement after 3 months.
So far, the disease has barely touched our country, but it has had a big impact on our health care system and our national psyche.
The clinical virology of Ebola virus, the reported proposed treatments, and an overview of the current outbreak.