Article
Alternative interventions for obstructive sleep apnea
Lifestyle modification, surgical interventions, and other devices may benefit patients unable to use PAP therapy.
Lifestyle modification, surgical interventions, and other devices may benefit patients unable to use PAP therapy.
Cardiovascular disease makes no distinction in race, sex, age, or socioeconomic status, and neither should clinicians.
Each patient is unique, and with a range of treatments available, treatment can be individualized.
As we dig deeper into the reduction in cardiovascular deaths seen with some newer drugs, several questions arise.
Off medications for 1 year, her triglyceride level was 10,250 mg/dL, hemoglobin A1c 12.4%.
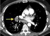
A woman on heparin developed a hematoma on the floor of her mouth that threatened to block her airway.
Immunosuppressive drugs can predispose to invasive fungal infection.
Although routine testing is common, it has low diagnostic yield and is unlikely to alter patient management.
A young man presents with severe, pressure-like, midsternal, nonradiating pain, rated 10 on a scale of 10.