Article

STI update: Testing, treatment, and emerging threats
Fast, sensitive molecular diagnostic tests that use self-collected samples may help bend the upward curve of STIs.
Fast, sensitive molecular diagnostic tests that use self-collected samples may help bend the upward curve of STIs.
Risk factors: reflux symptoms > 5 years, male sex, age > 50, white race, central obesity, and smoking.
Lifestyle counseling can be based on the mnemonic SEEDS: sleep, exercise, eat, diary, and stress.
Testing for Lyme disease is challenging and if done incorrectly can lead to unnecessary treatment.
The two conditions commonly coexist, and treating the sleep apnea results in better rhythm-directed outcomes in the A-fib.
A 43-year-old man presented with halitosis and deep fissures on his tongue.
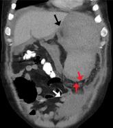
Atraumatic splenic rupture is rare but potentially life-threatening, especially if the diagnosis is delayed.
Yes. The prevalence of sleep apnea is high in patients with atrial fibrillation, and vice versa.
Her calcium level was 18.4 mg/dL; 6 months earlier it had been 9.6. What was the cause?
Despite the guidelines, most patients still receive high intravenous doses for acute exacerbations.