Clinical Challenges

What’s your diagnosis?

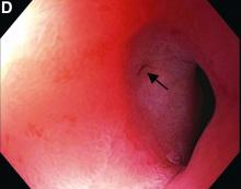
Question: A 74-year-old man with a history of Helicobacter pylori–related prepyloric ulcer (Figure A) resulting in pyloric stenosis (Figure B) and gastric outlet obstruction, now presents to the clinic with recurrent nausea, vomiting, and weight loss for the past 2 months. Two years ago, the patient had similar symptoms, which required 2 endoscopic dilations and continued course of proton pump inhibitors. Since then, the patient was lost to follow-up and is now returning to the clinic. On physical examination the patient is cachectic and nonjaundiced and has mild epigastric tenderness and a scaphoid abdomen. The patient’s hemoglobin is chronically stable at 12.5 g/dL (normal range, 13.5-17.5 g/dL) and other relevant laboratory results are within normal limits. Upon endoscopic examination, the patient is found to have recurrent pyloric stenosis, gastric outlet obstruction with significant amount of retained food, and a healed prepyloric ulcer. Standard as well as thin caliber endoscopes were unable to pass through the pyloric stenosis. Consequently, a guidewire was inserted into the pyloric opening to perform over-the-wire balloon dilation of pyloric stenosis under fluoroscopy. Contrast was injected to confirm luminal positioning of the balloon and findings in Figure C (arrow) were obtained.

What’s the diagnosis?


 

Choledocopyloric fistula secondary to peptic ulcer disease.


This patient has a known history of prepyloric peptic ulcer disease and related gastric outlet obstruction requiring two previous dilations. Upon endoscopic examination, we observed high-grade obstruction at the pylorus similar to previous examinations. During the initial positioning of the balloon for dilation, we inadvertently cannulated the fistula located in the pyloric channel using the guidewire (arrow in Figure D) and were able to characterize its anatomy upon contrast administration (Figure C). However, after repositioning the guidewire into the duodenal lumen beyond pyloric stricture, the balloon was inflated to a maximal diameter of 15 mm under fluoroscopic guidance. Discounting other common causes, our patient presented with an infrequent occurrence of choledocopyloric fistula secondary to peptic ulcer disease.


The most common cause of choledocoenteric fistula is bile duct inflammation due to gallstone formation, while other minor causes include neoplasms, ulcers, and inflammation of neighboring organs.1 Additionally, in recent years, fistula formation is a relatively rare complication of peptic ulcer disease due to the increased effectiveness of ulcer drugs.2 Similar to this patient's condition, cholangitis, jaundice, or anomaly of biological liver examinations are rarely observed. Consequently, diagnosis is mainly incidental with pneumobilia being the most helpful marker present in 50% of cases.3 Because cholangitis and biliary sequelae remain rare, choledocoenteric fistulas do not warrant prophylactic surgical treatment. As a result, treatment is generally focused on the underlying ulcer disease.
The quiz authors disclose no conflicts.


References
1. Stagnitti F et al. G Chir. 2000 Mar;21(3):110-7.
2. Wu MB et al. Ann Surg Treat Res. 2015 Nov;89(5):240-6.
3. Dewulf E et al. J Chir (Paris). 1987 Jan;124(1):19-23.

Previously published in Gastroenterology (2019 Oct;157[4]:936-7).

Next Article:

From past to future