Practical Teaching Cases

An Unusual Cause of Recurrent Severe Abdominal Colic

Published previously in Gastroenterology (2016;151:819-21)


AGA Institute
A 56-year-old man with severe colic, periumbilical pain, and constipation for eighteen months was referred to our hospital. He complained of unbearable pain that occurred on and off every 2-3 months. He did not have fever or hematochezia. Four weeks before he came to our hospital, he went to another local hospital, where gastroscopy and colonoscopy were performed and nothing abnormal was observed. However, the patient also had abdominal computed tomography angiography (CTA) and right ileocolic artery stenosis was highly suspected. Then, the patient received treatment for ischemic bowel disease and no improvement in his symptoms was reported.
AGA Institute
On admission to our hospital, the patient’s vital signs were normal. He had brown stains on his teeth. The chest examinations were normal. The abdominal examination revealed hypoactive bowel sounds and mild diffuse abdominal tenderness without rebound. Laboratory investigation showed hepatitis B infection (DNA level 5.78 × 105 copy/mL, and liver function within normal range), and mild anemia (hemoglobin concentration 103 g/L). The tests for serum iron, folate, and vitamin B12 levels all showed negative results.
AGA Institute
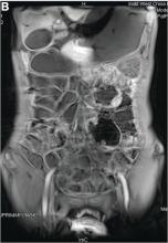
The urine and stool tests yielded normal results. Tests for autoimmune diseases showed negative results. Gastroscopy, colonoscopy, and abdominal CTA (Figure A) were repeated and yet again produced normal results. Magnetic resonance enterography showed parts of the small bowel walls thickening in the left upper abdomen (Figure B).
AGA Institute
Double-balloon endoscopy revealed patchy redness and congestion at two sites between 50 cm (Figure C) and 150 cm (Figure D) from the pylorus. Some time after the patient was admitted, his symptoms deteriorated so much so that he attempted suicide.

Dr. Deng, Dr. Hu, and Dr. Zhang are in the department of gastroenterology, West China Hospital, Sichuan University, Sichuan Province, China.

Which of the following choices is the most likely cause of the patient’s abdominal colic?

Ischemic bowel disease

Lead poisoning

Functional abdominal pain syndrome

Abdominal type allergic purpura

AGA Institute

Figure E

The correct answer is B. The lead levels in serum and urine were tested (517 mcg/L, 0-400 mcg/L; 131.7 mcg/L, 0-70.38 mcg/L). A diagnosis of lead poisoning was made. Three days after chelation treatment, his symptoms disappeared and did not recur in the follow-up.

We carefully reviewed the patient’s history and found that he had been using jineijin, a traditional Chinese medicine (TCM) drug, which is made with dried endothelium corneum gigeriae galli (Figure E), at about 500 g/month and squama mantis (a TCM drug, at less than 5 g/month) as dietary supplements for 3 years.

AGA Institute

Figure F

The level of lead in ground jineijin (Figure F, the drug the patients consumed is mainly processed by mixing ground jineijin and honey; Figure G, the deposit left after the elution of honey in Figure F is ground jineijin) and squama mantis was measured with inductively coupled plasma optical emission spectrometry, which proved to be 3,389 mg/kg, much higher than the maximal limit allowed for drinking water (less than 0.01 mg/kg). It is estimated that the patient’s daily lead intake from ground jineijin and squama mantis approximated 50 mg/day (acceptable limit being 100-300 mcg/day)1 in the past 3 years.

AGA Institute

Figure G

Jineijin has traditionally been used in China to alleviate nausea and vomiting.2 With the rapid development of industry, heavy metal pollution of water and soil has been a widespread problem.3 Heavy metal enrichment may appear in poultry exposed to environmental population. Therefore, the lead content of jineijin obtained from poultry with high levels of lead exposure can easily exceed maximum acceptable limits. In this patient, long-term high-dosage consumption of jineijin may have been the source of lead exposure.

Acknowledgments

We thank Linshen Xie, MD, department of environmental health and occupational diseases, No. 4 West China Teaching Hospital, Sichuan University, for offering some clinical data. We thank the patient for giving permission to share his information.

References

1. National Research Council (US). Safe Drinking Water Committee. Drinking water and health. National Academy Press. Washington, D.C. 1977;1:309.

2. State Administration of Traditional Chinese Medicine. Advanced Textbook on Traditional Chinese Medicine and Pharmacology. New World Press, Beijing. 1995. (vol. 2).

3. Hui Hu, Q.J., Kavan, P. A study of heavy metal pollution in China: Current status, pollution-control policies and countermeasures. Sustainability. 2014;6:5820-38.

This article has an accompanying continuing medical education activity, also eligible for MOC credit, Learning objective: Upon completion of this examination, successful learners will be able to identify the features of lead poisoning.

Next Article:

Ten Financial Tips for a Worry-Free Retirement