What's Your Diagnosis?

Small Bowel Obstruction in a Surgically Naïve Abdomen

Author and Disclosure Information

 

References

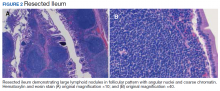
To provide a tissue diagnosis and definitive treatment, surgical exploration was needed for this patient. Exploratory laparotomy revealed an area of thickened ileum and calcified nodules in its mesentery. Pathologic examination of the resected tissue revealed large lymphoid nodules in a follicular pattern with coarse chromatin (Figure 2). Taken together with the immunohistochemical stains, this was consistent with malignant B-cell non-Hodgkin lymphoma, follicular type, grade 1.

Small bowel malignancy accounts for > 5% of all gastrointestinal tumors.4 Of these, small bowel neuroendocrine tumors are the most common, followed by adenocarcinomas, lymphomas, and stromal tumors.4 Primary follicular lymphoma (PFL) is a B-cell non-Hodgkin lymphoma, and comprises between 3.8% and 11% of gastrointestinal lymphomas, commonly in the duodenum and terminal ileum.5

PFL typically occurs in middle-aged females and can be difficult to diagnose, as most patients are asymptomatic or present with unspecified abdominal pain. Many are diagnosed incidentally when endoscopy biopsies are performed for other reasons.4,5 Histologically, PFL is composed of a mixed population of small (centrocytes) and large (centroblasts) lymphoid cells, with higher proportions of centroblasts corresponding to a higher grade lymphoma.6 The classic immunophenotype of PFL shows coexpression of CD79a (or CD20), CD10, and BCL-2; however, in rare cases, low-grade PFL may stain negative for BCL-2 and have diminished staining for CD10 in interfollicular areas.7

PFL generally carries a favorable prognosis. Most patients achieving complete disease regression or stable disease following treatment and a low recurrence rate. Treatment can include surgical resection, radiation, rituximab therapy, chemotherapy, or observation.8 Patient also should be counseled in alcohol and tobacco cessation to reduce recurrence risk.

Other small bowel malignancies may present as small bowel obstructions as well. Neuroendocrine tumors and adenocarcinomas are both more common than small bowel lymphomas and can present as small bowel obstruction. However, neuroendocrine tumors are derived from serotonin-expressing enterochromaffin cells of the midgut and often present with classic carcinoid syndrome symptoms, including diarrhea, flushing, and right heart fibrosis, which the patient lacked.9 Immunohistology of small bowel adenocarcinoma often shows expression of MUC1 or MUC5AC with tumor markers CEA and CA 19-9.10

Primary intestinal melanoma, another small bowel malignancy, is extremely rare. More commonly, the etiology of intestinal melanoma is cutaneous melanoma that metastasizes to the gastrointestinal tract.11 This patient had no skin lesions to suggest metastatic melanoma. With intestinal melanoma, immunohistochemical evaluation may show S-100, the most sensitive marker for melanoma, or HMB-45, MART-1/Melan-A, tyrosinase, and MITF.12

Conclusion

This case is notable because it highlights the importance of examining the cause of small bowel obstruction in a surgically naïve abdomen, as exploration led to the discovery and curative treatment of a primary intestinal malignancy. It also underscores the nonspecific presentation that PFLs of the small intestine can have and the importance of understanding the different histopathology and immunohistochemical profiles of small bowel malignancies.

Pages

Recommended Reading

ACIP updates recommendations for adult vaccines
Federal Practitioner
Rate of suicide is higher in people with neurologic disorders
Federal Practitioner
World Cancer Day survey exposes ‘glaring inequities’
Federal Practitioner
‘Antibacterial’ soap labels still list banned ingredients
Federal Practitioner
Older NHL survivors show worse cognitive decline
Federal Practitioner
Glaring gap in CV event reporting in pivotal cancer trials
Federal Practitioner
Number of sexual partners linked to cancer risk
Federal Practitioner
FDA, FTC uniting to promote biosimilars
Federal Practitioner
Oncology dominates clinical trial landscape
Federal Practitioner
Meta-analysis highlights safety concerns with interleukin inhibition
Federal Practitioner

Related Articles

  • Case Reports

    A Nervous Recipient of a “Tongue Lashing”

    A veteran with a history of mental illness and drug and alcohol misuse developed a bleeding lesion on his tongue, which raised concerns of self-...

  • What's Your Diagnosis?

    Fingernail Abnormalities After a Systemic Illness

    Examining a patient’s nails and understanding nail growth mechanics can provide helpful clues to help treat past injuries or underlying diseases...

  • What's Your Diagnosis?

    A Reticular Rash on the Leg

    A man presented with a nontender, flat rash with pigmentary alteration ranging from light brown to dark brown on his left leg. How would you treat...