Photo Rounds

Bilateral flank pain

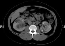
A 43-year-old woman with newly diagnosed hypertension presented to her family physician (FP) with persistent bilateral flank pain. She had a family history of “kidney problems.” Urinalysis, revealed that she had microscopic hematuria. The FP ordered an abdominal computed tomography (CT) scan after a renal ultrasound was suspicious for renal pathology.

What's your diagnosis?


 

The CT scan showed bilateral polycystic kidneys. Polycystic kidney disease (PKD) is a manifestation of a group of inherited disorders resulting in renal cyst development. In the most common form, autosomal-dominant polycystic kidney disease (ADPKD), extensive epithelial-lined cysts develop in the kidney; in some cases, abnormalities also occur in the liver, pancreas, brain, arterial blood vessels, or a combination of these sites.

The current role of therapy in PKD is to slow the rate of progression of renal disease and minimize symptoms. In clinical trials, neither protein restriction nor tight blood pressure control decreased the decline in glomerular filtration rate. However, in a UK population study, increasing coverage (from 7% to 46% of the population prescribed an antihypertensive agent) showed a trend toward decreasing mortality. Increased intensity of antihypertensive therapy was associated with decreasing mortality in people with ADPKD.

For episodes of gross hematuria, bed rest, analgesics, and hydration are recommended. Blood pressure should be controlled to reduce the risk of associated cardiovascular disease. Treat infection as early as possible. If an infected cyst is suspected, agents that penetrate cysts such as trimethoprim-sulfamethoxazole and ciprofloxacin are used.

Photo courtesy of Michael Freckleton, MD. Text for Photo Rounds Friday courtesy of Richard P. Usatine, MD. This case was adapted from: Smith M. Polycystic kidneys. In: Usatine R, Smith M, Mayeaux EJ, Chumley H. Color Atlas of Family Medicine. 2nd ed. New York, NY: McGraw-Hill; 2013:436-440.

To learn more about the Color Atlas of Family Medicine, see: http://www.amazon.com/Color-Family-Medicine-Richard-Usatine/dp/0071769641/

You can now get the second edition of the Color Atlas of Family Medicine as an app by clicking this link: http://usatinemedia.com/

Recommended Reading

Back pain: Time for an interventional pain specialist?
MDedge Family Medicine
Rectal pressure
MDedge Family Medicine
DEA expands drug take-back program to hospitals, clinics
MDedge Family Medicine
Head bath promising for primary headaches
MDedge Family Medicine
NHLBI expert panel issues guideline on sickle cell disease
MDedge Family Medicine
Psoriatic arthritis patients often changed or stopped treatment
MDedge Family Medicine
Flank pain
MDedge Family Medicine
FDA approves drug for opioid-induced constipation in chronic noncancer pain population
MDedge Family Medicine
Lower abdominal pain
MDedge Family Medicine
Stepwise approach improves diagnostic accuracy in polymyalgia rheumatica
MDedge Family Medicine