Applied Evidence

Diabetic foot care: Tips and tools to streamline your approach

Author and Disclosure Information

 

References

Screening for neuropathy, ulceration’s most consistent risk factor

Forty percent of patients with diabetes develop distal peripheral neuropathy.8 Damage to sensory nerves often results in the burning foot pain described by Mr. F., which can significantly affect quality of life. It may also present simply as decreased sensation or vibration sense. While decreased sensation is not painful and may not be troubling to the patient, it substantially heightens the risk of foot injury.

To screen for neuropathy, place a 10-g monofilament on noncallused plantar surfaces of the distal hallux and metatarsal heads, with enough pressure to slightly bend the filament. Instructing patients to close their eyes and report any sensation is more effective than prompting them for a response.

Recent guidelines from the American Diabetes Association and American Association of Clinical Endocrinologists recommend 1 additional screening test for neuropathy,9 such as pinprick or vibration sense.

Patients with neuropathy or other risk factors require more frequent follow-up to check for early signs of ulceration. Take the opportunity to provide education about the importance of self-examination of the feet, among other preventive measures (See “Preventing ulcers in high-risk feet”). Be alert to evidence of Charcot neuroarthropathy (CN). This progressive and irreversible condition of bone and joint slippage, dislocation, or fracture can affect any part of the foot, although it is typically found in the midfoot.

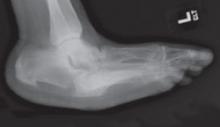
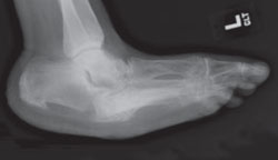
Acute CN is a clinical emergency characterized by pain, warmth, and erythema—making it clinically indistinguishable from cellulitis, osteomyelitis, or gout. Blood tests, including a white blood cell count, sedimentary rate, and uric acid level, may be necessary for diagnosis, as well as radiographs or magnetic resonance imaging. Treatment is long-term (4-6 months) immobilization of the joint to prevent further destruction,10 and bisphosphonates for pain during the acute phase.11 Untreated CN typically results in a rocker-bottom foot deformity (FIGURE) that puts patients at greater risk for plantar ulceration.

Preventing ulcers in high-risk feet

Although it is possible to successfully treat the majority of diabetic foot ulcers, the wounds result in considerable morbidity, lower quality of life, and increased health care costs. A far better approach is to focus on prevention, with appropriate interventions and frequent follow-up for those at high risk.

ENSURE THAT THE PATIENT HAS THE RIGHT FOOTWEAR.

Properly fitting shoes with ample room for the toes is a priority for all patients with diabetes, but “high-risk feet” need therapeutic footwear, which Medicare covers as a yearly benefit. For those with a history of foot ulcer or amputation, custom insoles, rigid rocker shoes, and orthotics can help prevent re-ulceration.34 For socks, synthetic blends are preferable to cotton, which can chafe when wet with sweat.

PROVIDE EDUCATIONAL MATERIALS; EMPHASIZE FOOT INSPECTION.

All patients with diabetes should receive general education regarding foot care, as there is evidence that it improves behavior and may prevent injuries.7,35 Educational materials emphasizing the importance of nightly foot inspection, overall foot care, and physician inspection are crucial for patients at high risk for developing foot ulcers. Excellent patient education materials are available from the National Diabetes Education Program (See “Take Care of Your Feet for a Lifetime”).

STRESS FREQUENT FOLLOW-UP.

Patients should be informed of their risk level for diabetic foot ulcers after screening. Advise those at high risk to have their feet inspected by a podiatrist or other knowledgeable clinician every 1 to 2 months.9

ENCOURAGE EXERCISE.

Non-weight-bearing exercise programs, including swimming, and a consistent level of daily weight-bearing activity should be encouraged. Caution patients to increase weight-bearing exercise gradually, however, ideally in a closely supervised setting, and to do everything possible to avoid even minimal foot trauma.

REVIEW MEDICATIONS AND ADJUST THERAPY, AS NEEDED.

Tight glycemic control and the use of angiotensin-converting enzyme inhibitors may help prevent the development of neuropathy.36,37 For those who already have neuropathy, tricyclic antidepressants38 or anticonvulsants may bring pain relief.

GUARD AGAINST CHARCOT NEUROARTHROPATHY.

Be alert to this diagnosis in patients who present with a warm, red, painful midfoot. Patients with long-standing neuropathy may benefit from preventive bracing to limit joint movement and lower the risk of Charcot neuroarthropathy.

FIGURE
Rocker-bottom foot deformity


This radiograph reveals extensive collapse of the inner arch and a “rocker-bottom” foot deformity, the result of untreated Charcot neuroarthropathy.

CASE: MR. F.’S RISK BECOMES A REALITY

Mr. F. has a moderate risk of foot ulceration, based on evidence of neuropathy with 6 insensate sites (TABLE 1). You emphasize the importance of foot care, including appropriate footwear, and refer him to a podiatrist. You strongly support his decision to begin an exercise program to improve his glycemic control, decrease his cardiovascular mortality risk, and possibly help him lose weight.

Pages

Recommended Reading

Does case management improve diabetes outcomes?
MDedge Family Medicine
Achieve better glucose control for your hospitalized patients
MDedge Family Medicine
Birth control change proves fatal...“Bronchitis” turns out to be lung cancer...more...
MDedge Family Medicine
Glucose self-monitoring: Necessary—or not?
MDedge Family Medicine
Diabetes: Rethinking risk and the Dx that fits
MDedge Family Medicine
Car crash blamed on lack of post-test monitoring
MDedge Family Medicine
Type 2 diabetes: Which interventions best reduce absolute risks of adverse events?
MDedge Family Medicine
Initiating antidepressant therapy? Try these 2 drugs first
MDedge Family Medicine
DPP-4 Inhibitors: A New Therapeutic Class for the Treatment of Type 2 Diabetes
MDedge Family Medicine
Glucose control: How low should you go with the critically ill?
MDedge Family Medicine