Photo Challenge

Erythematous Seropurulent Ulcerations

Author and Disclosure Information

A 34-year-old male veteran who was otherwise healthy presented with multiple ulcerated skin lesions on the left arm and forearm as well as the chest. After returning to the United States from being stationed in Qatar and Saudi Arabia, he noticed multiple “bug bites” on the left arm that eventually progressed to larger crusted ulcerations. He denied fever, chills, nausea, vomiting, abdominal pain, tenderness, or any other symptoms. He had been given doxycycline for a possible bacterial infection, but the lesions did not improve.

What’s the diagnosis?

a. chromoblastomycosis

b. coccidioidomycosis

c. cutaneous anthrax

d. cutaneous leishmaniasis

e. sporotrichosis

The Diagnosis: Cutaneous Leishmaniasis

On examination, the patient had multiple punched-out ulcers with indurated borders and surrounding erythema arranged in a sporotrichoid pattern from the left forearm to the left lateral chest (Figure 1).

Sporotrichoid spread of ulcers from the distal forearm to the lateral chest. Figure 1. Sporotrichoid spread of ulcers from the distal forearm to the lateral chest.

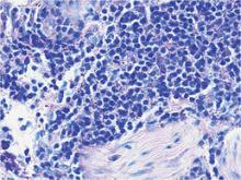
Bacterial culture of a tissue specimen was negative, and tissue fungal culture failed to grow any organisms. Serological studies included a complete blood cell count with differential, a chemistry panel, and liver function tests, which were all unremarkable. Coccidioidomycosis and human immunodefi-ciency virus antibodies were negative. A 4-mm punch biopsy was obtained and sent to the Armed Forces Institute of Pathology for review. Histopathologic examination revealed marked inflammation with ill-formed noncaseating granulomas and focal ulceration, necrosis in the deep dermis, and both intra-cellular and extracellular amastigotes within areas of necrosis (Figures 2 and 3).

Mixed dermal inflammation with ill-formed, noncaseating granulomas (H&E, original magnification ×100). Figure 2. Mixed dermal inflammation with ill-formed, noncaseating granulomas (H&E, original magnification ×100).
Multiple intracellular amastigotes are highlighted by the special stain, appearing as tiny “granules” in the cytoplasm of histiocytes (Giemsa, original magnification ×400). Figure 3. Multiple intracellular amastigotes are highlighted by the special stain, appearing as tiny “granules” in the cytoplasm of histiocytes (Giemsa, original magnification ×400).

The rise in the number of cases of cutaneous leishmaniasis in the United States, particularly in the veteran population, can be attributed to the recent conflicts in the Middle East and Afghanistan. Infection with Leishmania species can result in a variety of clinical presentations, ranging from localized, self-limited cutaneous lesions to a life-threatening infection with visceral involvement.1 Additionally, the host immune response is variable. This variation in clinical presentation and disease progression explains why there is no single best treatment identified for leishmaniasis to date.

The clinical pattern of spread along the lymphatics in this patient is unique. The differential diagnosis of lesions with sporotrichoid spread includes Mycobacterium marinum and other atypical mycobacterial infections, Sporothrix schenckii, nocardiosis, leishmaniasis, coccidioidomycosis, tularemia, cat scratch disease, anthrax, chromoblastomycosis, pyogenic bacteria, and other fungal or bacterial infections. With such a broad differential diagnosis, histologic confirmation is paramount.

The most widely used pharmacotherapy for leishmaniasis is with pentavalent antimony compounds, which have been studied in randomized controlled trials for leishmaniasis more than any other drug.2 These antimony compounds are associated with a large spectrum of clinical adverse events, and there is increasing evidence for emerging parasite resistance to the antimonies.3-5 Historically, amphotericin B was considered a second-line treatment of leishmaniasis due to its systemic toxicity.6 However, this treatment has come back into favor due to its newer, more tolerable, lipid-associated formulation.

Our patient was treated with intravenous liposomal amphotericin B at a dosage of 3 mg/kg daily for days 1 to 5, then again on days 14 and 21. He tolerated the therapeutic regimen without difficulty or adverse effects. The ulcers eventually became smaller and ceased to weep, fully healing over a course of several months.

Recommended Reading

Unilateral Presentation of Disseminated Candidiasis: Case Report and Review of the Literature
MDedge Dermatology
Low-intensity chemo works for Burkitt’s lymphoma
MDedge Dermatology
Gene panel identifies residual neuroblastoma metastases
MDedge Dermatology
A Prolonged Incubation Period in Zosteriform Leishmania panamensis
MDedge Dermatology
What Is Your Diagnosis? Old World Leishmaniasis
MDedge Dermatology
Granulomatous Mycosis Fungoides With Clinical Features of Granulomatous Slack Skin
MDedge Dermatology
Primary Cutaneous Candida tropicalis Infection in a Patient With B-Cell Lymphoma
MDedge Dermatology
Congenital Candidiasis: An Uncommon Skin Eruption Presenting at Birth
MDedge Dermatology
Dermatologic Complications From Sojourns Abroad
MDedge Dermatology
Focus lands on kinase fusions in Spitz tumors
MDedge Dermatology