Case Reports

Acroangiodermatitis of Mali and Stewart-Bluefarb Syndrome

Author and Disclosure Information

Acroangiodermatitis (AAD), also known as pseudo-Kaposi sarcoma, is a rare benign vascular proliferation mainly of the extremities. It is characterized by violaceous patches or plaques resembling Kaposi sarcoma. The term pseudo-Kaposi sarcoma encompasses 2 variants of acroangiodermatitis: Mali type and Stewart-Bluefarb syndrome (SBS). Mali-type AAD is more common and is associated with chronic venous hypertension, while SBS is more rare and is associated with arteriovenous malformations and iatrogenic arteriovenous fistulae. We report 2 patients, representing each type of AAD.

Practice Points

  • Acroangiodermatitis (AAD) may mimic Kaposi sarcoma clinically and histopathologically. A human herpesvirus 8 stain is helpful to differentiate these two entities.
  • Diagnosis of AAD should prompt investigation of an underlying arteriovenous malformation, as the disease may have systemic consequences such as congestive heart failure.


 

References

Case Reports

Patient 1
A 56-year-old white man with a history of hypertension, hyperlipidemia, sleep apnea, bilateral knee replacement, and cataract removal presented to the emergency department with a worsening rash on the left posterior medial leg of 6 months’ duration. He reported associated redness and tenderness with the plaques as well as increased swelling and firmness of the leg. He was admitted to the hospital where the infectious disease team treated him with cefazolin for presumed cellulitis. His condition did not improve, and another course of cefazolin was started in addition to oral fluconazole and clotrimazole–betamethasone dipropionate lotion for a possible fungal cause. Again, treatment provided no improvement.

He was then evaluated by dermatology. On physical examination, the patient had edema, warmth, and induration of the left lower leg. There also was an annular and serpiginous indurated plaque with minimal scale on the left lower leg (Figure 1). A firm, dark red to purple plaque on the left medial thigh with mild scale was present. There also was scaling of the right plantar foot.

Figure 1. Mali-type acroangiodermatitis. Annular and serpiginous indurated plaque with minimal scale on the left lower leg.

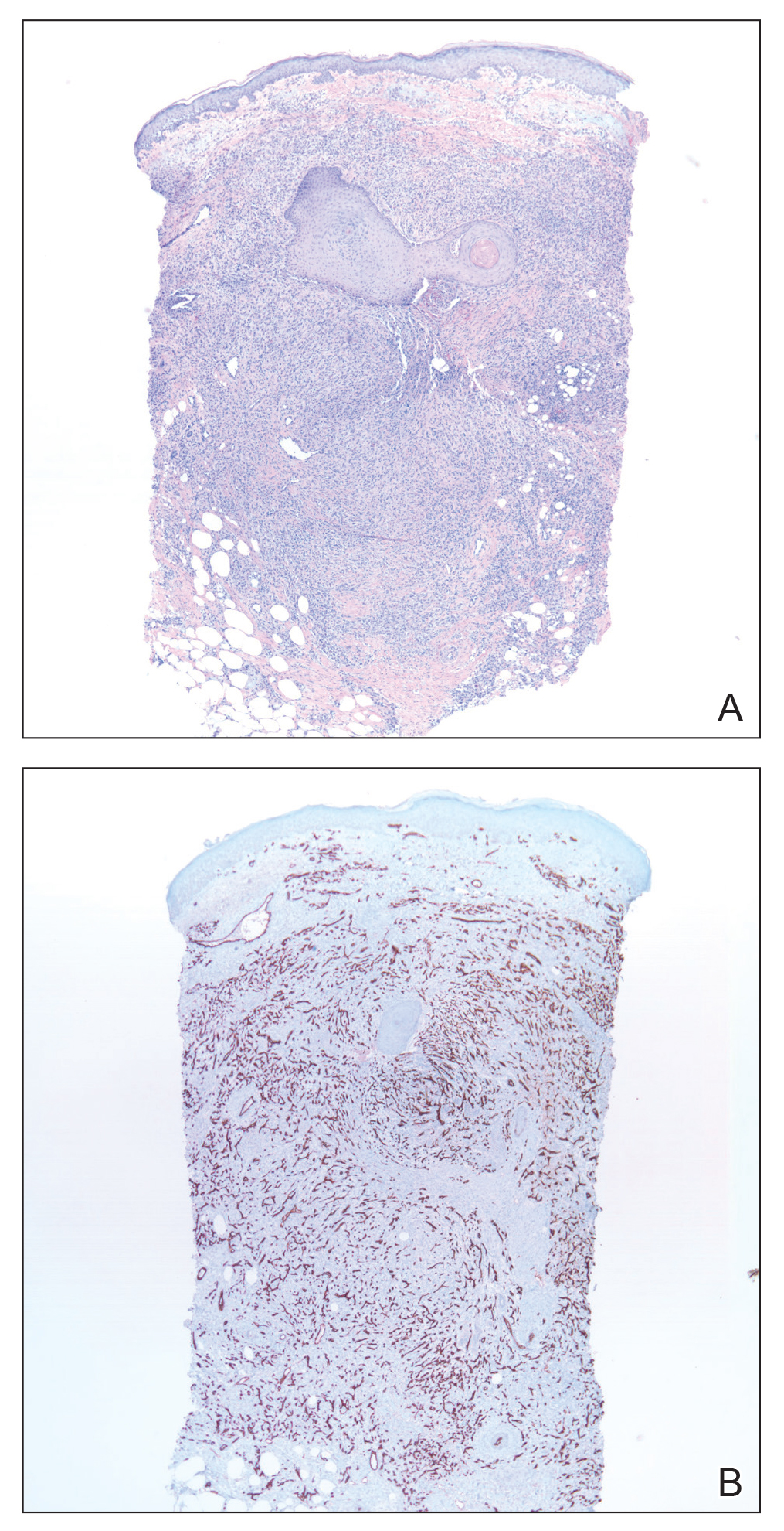
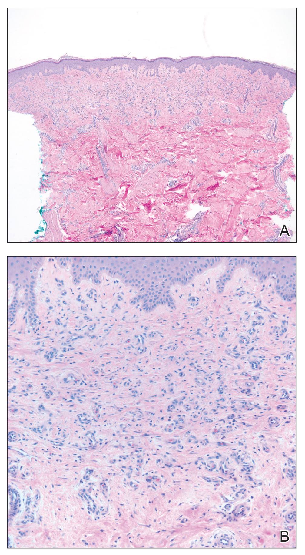
Skin biopsy revealed a dermal capillary proliferation with a scattering of inflammatory cells including eosinophils as well as dermal fibrosis (Figure 2). Periodic acid–Schiff and human herpesvirus 8 (HHV-8) immunostains were negative. Considering the degree and depth of vascular proliferation, Mali-type acroangiodermatitis (AAD) was the favored diagnosis.

Figure 2. A and B, Histologic evaluation demonstrated dermal capillary proliferation with a scattering of inflammatory cells and dermal fibrosis (H&E, original magnifications ×4 and ×20).

Patient 2
A 72-year-old white man presented with a firm asymptomatic growth on the left dorsal forearm of 3 months’ duration. It was located near the site of a prior squamous cell carcinoma that was excised 1 year prior to presentation. The patient had no treatment or biopsy of the presenting lesion. His medical and surgical history included polycystic kidney disease and renal transplantation 4 years prior to presentation. He also had an arteriovenous fistula of the left arm. His other chronic diseases included chronic obstructive lung disease, congestive heart failure, hypertension, type 2 diabetes mellitus, and obstructive sleep apnea.

On physical examination, the patient had a 1-cm violaceous nodule on the extensor surface of the left mid forearm. An arteriovenous fistula was present proximal to the lesion on the left arm (Figure 3).

Figure 3. Acroangiodermatitis secondary to Stewart-Bluefarb syndrome. Violaceous nodule on the left mid forearm with an arteriovenous fistula proximal to the lesion.

Skin biopsy revealed a tightly packed proliferation of small vascular channels that tested negative for HHV-8, tumor protein p63, and cytokeratin 5/6. Erythrocytes were noted in the lumen of some of these vessels. Neutrophils were scattered and clustered throughout the specimen (Figure 4A). Blood vessels were highlighted with CD34 (Figure 4B). Grocott-Gomori methenamine-silver stain was negative for infectious agents. These findings favored AAD secondary to an arteriovenous malformation, consistent with Stewart-Bluefarb syndrome (SBS).

Figure 4. A, Histologic evaluation demonstrated a proliferation of small vascular channels. Intraluminal erythrocytes with neutrophils scattered throughout (H&E, original magnification ×4). B, CD34 stain highlighted blood vessel proliferation (original magnification, ×2).

Pages

Recommended Reading

Cutaneous Rosai-Dorfman Disease
MDedge Dermatology
BTK inhibitor calms pemphigus vulgaris with low-dose steroids
MDedge Dermatology
Case report may link gluteal implants to lymphoma
MDedge Dermatology
VIDEO: Immunomodulators for inflammatory skin diseases
MDedge Dermatology
Scurvy Masquerading as Reactive Arthritis
MDedge Dermatology
Asboe-Hansen Sign in Toxic Epidermal Necrolysis
MDedge Dermatology
Coalescing Papules on Bilateral Mastectomy Scars
MDedge Dermatology
Gentamicin restores wound healing in hereditary epidermolysis bullosa
MDedge Dermatology
Baseline imaging recommended in all Merkel cell carcinoma patients
MDedge Dermatology
Lambert-Eaton Myasthenic Syndrome and Merkel Cell Carcinoma
MDedge Dermatology