Radiology Review

Man with Consistent Headaches

Author and Disclosure Information


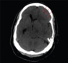
You are called to the emergency department (ED) in reference to a patient who was sent there by radiology with a reported “brain mass” noted on imaging. During further investigation in the ED, the patient, who is in his 50s, stated that he has had headaches for the past several weeks; he consulted his primary care provider, who ordered outpatient MRI of the brain—the test that ultimately led to his arrival in the ED. Since the MRI results were not immediately available for review, the ED staff obtained noncontrast CT of the head. The ED provider notes that it “looks like there is something there causing significant mass effect and shift.” When you arrive to see the patient, you note that he is awake, alert, and oriented times three. His Glasgow Coma Scale score is 15, and his vitals signs are normal. He states he has a mild headache, rating it a 3 out of 10 on a pain scale. His only other complaint is mild right-sided weakness, which he has noticed in the past week or so. Clinically, the strength in his right upper and lower extremities is good. His medical history is significant for prostate cancer and hypertension. A single cut from the CT of his head is shown. What is your impression?


 

ANSWER
The image shows obvious mass effect throughout the left hemisphere. On close examination, there is evidence of an isodense subdural collection within the left frontoparietal region. This is causing a left-to-right shift of almost 11 mm.

This finding is most likely a subacute subdural hematoma, probably seven to 14 days old. Further questioning reveals that the patient had fallen in the shower approximately two weeks prior and hit his head. The patient was admitted for observation and subsequently underwent a craniotomy for evacuation of the subdural hematoma.

Recommended Reading

Grand Rounds: Man, 30, With Traumatic Finger Amputations
Clinician Reviews
Grand Rounds: Man, 62, With New-Onset Atrial Fibrillation
Clinician Reviews
Grand Rounds: Man, 65, With Heart Failure Symptoms
Clinician Reviews
Wrist Pain After a Fall
Clinician Reviews
Elderly Woman with Shoulder Pain
Clinician Reviews
Elderly Man Failed To Mention Hip Pain After Fall
Clinician Reviews
Severe Pain Following Car Crash
Clinician Reviews
Woman With Back Pain Unable To Walk
Clinician Reviews
Woman with Malaise, Cough, and Shoulder Pain
Clinician Reviews
Man Fell Off Roof
Clinician Reviews