Radiology Review

Oh, Deer! Accident Leaves Man in Pain

Author and Disclosure Information

Man in pain image

What is your impression?


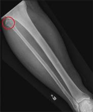
A 50-year-old man is brought to your facility by EMS personnel for evaluation after a motor vehicle crash. He was an unrestrained driver who swerved suddenly to avoid hitting a deer that jumped in front of him. He lost control of his vehicle, which rolled over several times and eventually landed in a ditch. His airbag deployed. The patient’s primary complaint is neck and right leg pain. His medical history is essentially unremarkable. He is awake, alert, and oriented, with stable vital signs. Primary survey shows a large laceration of his right leg over the tibia, with extensive soft-tissue injury and loss through the muscle. He has good range of motion in his knee, with no evident pain or swelling. His ankle and foot also show no injury and appear to be neurovascularly intact. You obtain a radiograph of the right tibia. What is your impression?


 

References

ANSWER
The radiograph shows a nondisplaced fracture of the proximal fibular head. No other fractures are evident. There is some evidence of soft-tissue injury and edema over the tibia.

An orthopedics consultation was obtained, with the presumption that the fracture would be nonsurgically managed.

Recommended Reading

Seizure Prompts Man to Fall
Clinician Reviews
Mind the Gap: Case Study in Toxicology
Clinician Reviews
Girl, 5, With Fever and Hip Pain
Clinician Reviews
Woman Complains of Knee Pain Following Fight
Clinician Reviews
Driver Partially Ejected From Vehicle
Clinician Reviews
Case Studies in Toxicology: Babies and Booze—Pediatric Considerations in the Management of Ethanol Intoxication
Clinician Reviews
Case Studies in Toxicology: When Doing More for the Sake of Better Health Goes Wrong
Clinician Reviews
Fall From Trail Leaves Woman in Pain
Clinician Reviews
Elective Craniotomy Results in Respiratory Distress
Clinician Reviews
Case Studies in Toxicology: Managing Missed Methadone
Clinician Reviews

Related Articles