News

ESC model predicts recurrent VTE risk


 

FROM THE INTERNATIONAL JOURNAL OF CARDIOLOGY

References

Recurrent venous thromboembolism was significantly associated with a higher European Society of Cardiology (ESC) pulmonary embolism score. This association was independent of other factors such as age, sex, and body mass index, according to a long-term, prospective follow-up study of 627 patients with a first episode of pulmonary embolism.

In addition, unprovoked PE and varicose veins of the lower limbs also increased recurrence risk, while longer anticoagulation treatment reduced it (Intnl J Cardiol. 2016;202:275-81).

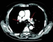
A large pulmonary embolism at the bifurcation of the pulmonary artery (saddle embolism). Courtesy Dr. James Heilman

A large pulmonary embolism at the bifurcation of the pulmonary artery (saddle embolism).

Dr. Shuai Zhang of the Beijing Institute of Respiratory Medicine and coauthors categorized their patients into three groups according to the ESC risk stratification model (Eur Heart J. 2008;29:2276-315). These were low-, intermediate-, and high-risk groups. Of the 627 patients, 84 had suspected VTE recurrence, 68 of whom had this confirmed by imaging diagnosis and were designated as the recurrent group. The 1-, 2-, and 5-year cumulative incidences of recurrent VTE were 4.5%. 7.3%, and 13.9%, respectively.

The researchers compared the 68 recurrent to the 559 nonrecurrent patients; all patients had had a first episode of PE.

Compared with nonrecurrent VTE patients, the recurrent group had significantly more high-risk and intermediate-risk patients, and the high-risk and intermediate-risk patients overall had significantly more cumulative recurrent events than the low-risk group. Multivariate analysis confirmed the association between higher risk in ESC stratification and VTE recurrence independent of age, sex, and body mass index.

Based on these results, the authors stated that, “The severity of disease should be considered in determining the initial treatment and duration of follow-up anticoagulation.”

“These finding support the notion that optimized therapy based on risk stratification is valuable while treating PE patients,” they concluded.

The authors reported having no conflicts of interest.

Read the full study online in the International Journal of Cardiology.

mlesney@frontlinemedcom.com

Recommended Reading

Direct oral anticoagulants may be inappropriate for frail elderly
MDedge Cardiology
Anticoagulant therapy not contraindicated in brain metastases
MDedge Cardiology
Warfarin therapy highly unpredictable in real-world practice
MDedge Cardiology
Remember ‘CURE’ indication for clopidogrel in ACS
MDedge Cardiology
Warfarin as effective as LMWH to prevent recurrent VTEs in cancer patients
MDedge Cardiology
The pros and cons of novel anticoagulants
MDedge Cardiology
ESC: Rivaroxaban safety highlighted in real-world setting
MDedge Cardiology
ESC: Too much TV boosts PE risk
MDedge Cardiology
HIT risk rises with obesity
MDedge Cardiology
Low incidence of DVT seen in routine MRI of damaged knees
MDedge Cardiology