Article

Slowly Enlarging Nodule on the Neck
- Author:
- Stacey Pun, MD
- Wonwoo Shon, DO
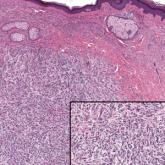
A 74-year-old man presented with an asymptomatic nodule on the left neck measuring approximately 2 cm. An excisional biopsy was obtained for...
Article

Hypopigmented Cutaneous Langerhans Cell Histiocytosis in a Hispanic Infant
- Author:
- Anny Xiao, DO
- Wonwoo Shon, DO
Dermatologists should be aware of the hypopigmented variant of cutaneous Langerhans cell histiocytosis, which has been reported exclusively in...
Article

Radiation-Induced Pemphigus or Pemphigoid Disease in 3 Patients With Distinct Underlying Malignancies
- Author:
- Wonwoo Shon, DO
- David A. Wada, MD
- Amer N. Kalaaji, MD
The cutaneous lesions of radiation-induced pemphigus or pemphigoid disease may resemble other skin diseases, including recurrent underlying cancer...