Article
 
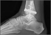
  Tibialis Posterior Tendon Entrapment Within Posterior Malleolar Fracture Fragment
- Author:
- Fantry A
- Lareau C
- Vopat B
- Blankenhorn B
Management of posterior malleolus fractures continues to be controversial, with respect to both need for fixation and fixation methods.
 
                                                    