Article

A guide to diagnosing and managing ascites in cirrhosis
- Author:
- Muhammad Salman Faisal, MD
- Tavankit Singh, MD
- Hina Amin, MD
- Jamak Modaresi Esfeh, MD
Combined serum and ascites fluid measurements point to the cause of ascites. For patients with modest edema, a reduced weight-loss target with...
Article

Current management of Barrett esophagus and esophageal adenocarcinoma
- Author:
- Tavankit Singh, MD
- Vedha Sanghi, MD
- Prashanthi N. Thota, MD, FACG
Risk factors: reflux symptoms > 5 years, male sex, age > 50, white race, central obesity, and smoking.
Article

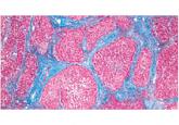
Assessing liver fibrosis without biopsy in patients with HCV or NAFLD
- Author:
- Tavankit Singh, MD
- Daniela S. Allende, MD
- Arthur J. McCullough, MD
Biopsy is still the gold standard, but methods based on clinical information and on imaging are emerging.
Article
In reply: Acute liver failure
- Author:
- Tavankit Singh, MD
- Nancy Gupta, MD
- Naim Alkhouri, MD
- William D. Carey, MD
- Ibrahim Hanouneh, MD
Article

A guide to managing acute liver failure
- Author:
- Tavankit Singh, MD
- Nancy Gupta, MD
- Naim Alkhouri, MD
- William D. Carey, MD
- Ibrahim A. Hanouneh, MD
Transfer to intensive care, start specific treatment depending on the cause, and consider transplant.
Article

Celiac disease: Managing a multisystem disorder
- Author:
- Gursimran Singh Kochhar, MD, CNSC, FACP
- Tavankit Singh, MD
- Anant Gill, MBBS
- Donald F. Klirby, MD, FACP, FACN, FACG, AGAF, CNSC, CPNS
This autoimmune disorder can cause symptoms that involve not only the gastrointestinal tract but also the skin and bones.