Article

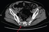
78-year-old man • tail bone pain • unintended weight loss • history of diabetes and hypertension • Dx?
- Author:
- Lindsey Forker, DO
- Sonia Masih, DO
- Scott O’Neil, MD, FACS
► Tail bone pain
► Unintended weight loss
► History of diabetes and hypertension