Article

Osteofibrous Dysplasia–like Adamantinoma of the Tibia in a 15-Year-Old Girl
- Author:
- Ratra A
- Wooldridge A
- Brindley G
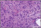
Osteofibrous dysplasia and adamantinoma are rare lesions of primary benign and malignant bone tumors with an incidence of less than 1%. These...