Article

Guidelines for Treatment of Lateral Patella Dislocations in Skeletally Mature Patients
- Author:
- Michael C. Liebensteiner, MD, PhD
- Florian Dirisamer, MD
- Peter Balcarek, MD
- Philip Schoettle, MD, PhD
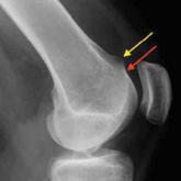
The incidence of lateral patella dislocations is high, particularly in young females. Beside traumatic cases, many patients present with specific...