Article

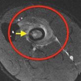
Radial Shaft Stress Fracture in a Major League Pitcher
- Author:
- Karim A. Meijer, MD
- Matthew S. Fury, MD
- Hayley Ennis, MD
- Luis Grau, MD
- Michael Baraga, MD
- Jean Jose, MS, DO
- James R. Andrews, MD
- Lee Kaplan, MD
In athletes, the incidence of stress fractures has been reported to be 1.4% to 4.4%.1 Stress fractures of the upper extremity are less...