Article

Emergency Imaging: Atraumatic Leg Pain
- Author:
- Jessica Rotman, MD
- J. Jacob Kazam, MD
- Keith D. Hentel, MD, MS
A 96-year-old woman with a medical history of sciatica, vertigo, osteoporosis, and dementia presented with atraumatic right leg pain. She stated...
Article

Emergency Imaging: Left Periorbital Swelling
- Author:
- Jessica A. Rotman, MD
- Keith D. Hentel, MD, MS
- J. Jacob Kazam, MD
A 3-year-old boy presented for evaluation of left periorbital swelling.
Article

Emergency Imaging: Severe Left Testicular Swelling
- Author:
- Jessica Rotman, MD
- Keith D. Hentel, MD, MS
A 32-year-old man presented to the ED with acute onset of left testicular swelling and pain...
Article

Emergency Imaging: Severe Chronic Abdominal Pain
- Author:
- Jessica Fisher, MD
- Keith D. Hentel, MD, MS
An otherwise healthy 20-year-old
woman presented for evaluation
of severe chronic abdominal pain.
Article

Emergency Imaging: Multiple Comorbidities With Fever and Nonproductive Cough
- Author:
- J. Jacob Kazam, MD
- Steven Daniels, MD
- Jessica Fisher, MD
- Edward Ebani, MD
- Keith D. Hentel, MD, MS
Article

Emergency Imaging: Abdominal Pain 6 Months After Cesarean Delivery
- Author:
- Julie Sogani, MD
- Keith D. Hentel, MD, MS
- Lily Belfi, MD
A 45-year-old woman presented for evaluation of abdominal pain.
Article

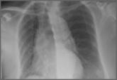
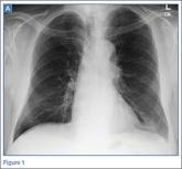
Emergency Imaging: Shortness of breath
- Author:
- Kathryn Dean, MD
- Keith D. Hentel, MD, MS
- Jessica Fisher, MD
Article

Emergency Imaging: Right hallux pain
- Author:
- Keith D. Hentel, MD, MS
Article

Emergency Imaging: Presyncopal episode
- Author:
- Ashwin Asrani, MD
- Keith D. Hentel, MD, MS
Article

Emergency Imaging
- Author:
- Lily Belfi, MD
- Gordon J. Hildick-Smith
- Keith D. Hentel, MD, MS
A 63-year-old woman with a history of multiple medical conditions presented for evaluation of fever and abdominal pain.