Article

Rare Dual Lesion: Extraskeletal Osteosarcoma Developing Within a Simple Lipoma
- Author:
- Jonathan Tresley, MD
- Ross Wodicka, MD
- Andrew Rosenberg, MD
- John D. Pitcher, MD
- Ty K. Subhawong, MD
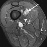
Extraosseous osteosarcoma is a rare malignancy, but simple lipomas are common. This article is the first report of a case of radiation-induced...
Article

Multimodality Approach to a Stener Lesion: Radiographic, Ultrasound, Magnetic Resonance Imaging, and Surgical Correlation
- Author:
- Jonathan Tresley, MD
- Adam D. Singer, MD
- Elizabeth A. Ouellette, MD
- Jason Blaichman, MD
- Paul D. Clifford, MD
The ulnar collateral ligament (UCL) of the thumb metacarpophalangeal joint is a static stabilizer that may rupture from a hyperabduction injury....