Skip to main content
Home
  • ALL Specialities ALL Specialities
    Home
    Home

    Jackson JB

    Article

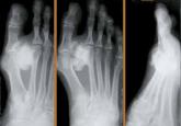
    Parosteal Osteosarcoma of the 2nd Metatarsal

    Author:
    Jackson JB
    Kneisl JS

    While masses of the foot are relatively common, bone forming lesions of the foot are less common. The differential diagnosis includes benign and...

    • Read More

    Privacy Policy

    Terms of Use

    Editorial Policy

    Cookie Policy

    Ad Policy

    Medscape Customer Support

    Frequently Asked Questions

     

    Advertise with MDedge

    See more with MDedge! See our Other Publications

    MDedge: Keeping You Informed. Saving You Time.

    Copyright  © 2024 Frontline Medical Communications Inc., 283-299 Market Street, 2 Gateway Center, 4th Floor, Newark, NJ 07102. All rights reserved. Unauthorized use prohibited. The information provided is for educational purposes only. Use of this Web site is subject to the medical disclaimer.

    • All Specialties
      • MDedge Home
      • Cardiology
      • Clinician Reviews
      • Dermatology
      • Emergency Medicine
      • Endocrinology/Diabetes
      • Family Medicine
      • Federal Practitioner
      • Gastroenterology
      • Hematology/Oncology
      • Infectious Disease
      • Internal Medicine
      • Neurology
      • Obstetrics And Gynecology
      • Pediatrics
      • Psychiatry
      • Pulmonology
      • Rheumatology
      • Surgery
    • MDedge Home
    • Cardiology
    • Clinician Reviews
    • Dermatology
    • Emergency Medicine
    • Endocrinology/Diabetes
    • Family Medicine
    • Federal Practitioner
    • Gastroenterology
    • Hematology/Oncology
    • Infectious Disease
    • Internal Medicine
    • Neurology
    • Obstetrics And Gynecology
    • Pediatrics
    • Psychiatry
    • Pulmonology
    • Rheumatology
    • Surgery