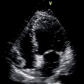
Article

Bedside Cardiac Ultrasound to Aid in Diagnosing Takotsubo Cardiomyopathy
- Author:
- Emily R. Nguyen, MD
- Abigail R. Brackney, MD, RDMS
A case of a 64-year-old patient presenting with new-onset chest pain and shortness of breath illustrates the utility of bedside cardiac ultrasound...