Article

Avascular Necrosis of Trochlea After Supracondylar Humerus Fractures in Children
- Author:
- Etier BE
- Doyle JS
- Gilbert SR
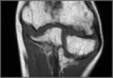
Avascular necrosis (AVN) is a rare but important complication after supracondylar humerus fractures. Posttraumatic humerus deformity was first...