Article

A practical guide to appendicitis evaluation and treatment
- Author:
- Mamie C. Stull, MD
- Jessica T. Servey, MD, MHPE, FAAFP
- Diane F. Hale, MD
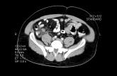
Which clinical findings most reliably point to appendicitis? How do the 3 primary clinical scoring systems compare? When is it time to order...