Article

Tips for managing 4 common soft-tissue finger and thumb injuries
- Author:
- Caitlin A. Nicholson, MD
- Jeremy A. Alland, MD
After examination and, in some cases, imaging, most of these injuries can be managed conservatively with splinting or injection. Some cases...
Article

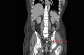
43-year-old male • fatigue • unintentional weight loss • pancytopenia • Dx?
- Author:
- Isabella Buzzo Bellon Brout, MD
- Caitlin A. Nicholson, MD
- Jennifer N. Lee, MD
► Fatigue
► Unintentional weight loss
► Pancytopenia