Skip to main content
Home
  • ALL Specialities ALL Specialities
    Home
    Home

    Angela K. Bohlke, MD

    Article

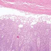
    Erythematous Flaky Rash on the Toe

    Author:
    Sarah K. Friske, BBA
    Claire J. Wiggins, MD
    Alison B. Carrigg, DO
    Angela K. Bohlke, MD
    Riyad N.H. Seervai, MD, PhD

    A 62-year-old man presented with an erythematous flaky rash associated with burning pain on the right medial second toe that persisted for several...

    • Read More

    Privacy Policy

    Terms of Use

    Editorial Policy

    Cookie Policy

    Ad Policy

    Medscape Customer Support

    Frequently Asked Questions

     

    Advertise with MDedge

    See more with MDedge! See our Other Publications

    MDedge: Keeping You Informed. Saving You Time.

    Copyright  © 2024 Frontline Medical Communications Inc., 283-299 Market Street, 2 Gateway Center, 4th Floor, Newark, NJ 07102. All rights reserved. Unauthorized use prohibited. The information provided is for educational purposes only. Use of this Web site is subject to the medical disclaimer.

    • All Specialties
      • MDedge Home
      • Cardiology
      • Clinician Reviews
      • Dermatology
      • Emergency Medicine
      • Endocrinology/Diabetes
      • Family Medicine
      • Federal Practitioner
      • Gastroenterology
      • Hematology/Oncology
      • Infectious Disease
      • Internal Medicine
      • Neurology
      • Obstetrics And Gynecology
      • Pediatrics
      • Psychiatry
      • Pulmonology
      • Rheumatology
      • Surgery
    • MDedge Home
    • Cardiology
    • Clinician Reviews
    • Dermatology
    • Emergency Medicine
    • Endocrinology/Diabetes
    • Family Medicine
    • Federal Practitioner
    • Gastroenterology
    • Hematology/Oncology
    • Infectious Disease
    • Internal Medicine
    • Neurology
    • Obstetrics And Gynecology
    • Pediatrics
    • Psychiatry
    • Pulmonology
    • Rheumatology
    • Surgery