Article

Bedside Ultrasound for Pulsatile Hand Mass
- Author:
- Jane Xiao, MD
- Abigail R. Brackney, MD
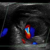
A 23-year-old man, who initially presented to an outside hospital’s ED for evaluation and treatment of a stab wound, presented to our ED two...
Video

VIDEO: Ultrasound with Doppler
- Author:
- Jane Xiao, MD
- Abigail R. Brackney, MD
Publish date: March 29, 2018
Pulsatile flow is noted through the neck of the mass.
Video

VIDEO: Initial Bedside Ultrasound of Pulsatile Hand Mass
- Author:
- Jane Xiao, MD
- Abigail R. Brackney, MD
Publish date: March 29, 2018
A round pulsatile hand mass with heterogeneous echogenicity.